子供のねむり・口呼吸・顔つき歯並び&耳鼻咽喉科
5歳時検診は3歳児検診と就学時検診の空白を埋めるため開始されました、発達障害の早期発見と生活習慣の確立が大きな柱です。もう一つ注目されているのは、睡眠障害です。
昔から寝る子は育つといわれるように 子供の健やかな成長発達は良質な睡眠と関連しています。皆さんご存じの大谷 翔平の活躍は1日10時間以上の睡眠が最も重要な要素と言われています。
幼児の生活習慣の改善は、食事、運動あそび、睡眠の生活のリズムを整えることから始まります
➡ 睡眠によって得られるものは
脳の疲労回復 身体の疲労回復 心の安定 記憶の促進です。良質・十分な睡眠で、活発な日常生活が可能となります。
成人では、慢性的睡眠不足は 肥満、糖尿病などの生活習慣病の原因となります。
➡ 子供のねむりについて
小学生の睡眠不足は肥満のリスクとなります。
幼児の睡眠習慣は、小学生の睡眠習慣と関連して幼児の早寝のお子さんは、その後も小学になっても早寝の傾向があります。就学後の不登校の原因の一つに生活の乱れが関係していますので、幼児の時から早寝の習慣づけは重要です。
子供の場合、眠気をうまく意識できず、イライラ、多動、衝動行動などとしてみられることも少なくありません。
睡眠障害が発達障害児に合併しやすく、睡眠障害の治療が情動行動やその後の発達の改善につながることがあります。
適正な睡眠習慣でも、睡眠に関連する異常が認められる場合、治療可能なアデノイド増殖症、扁桃肥大などの病気の可能性があります。
扁桃肥大は、お子さんの口の中をのぞけばわかりますが、アデノイド増殖症は、鼻とノドの奥の上咽頭にあるため耳鼻咽喉科で確認しないとわかりません。
➡ 睡眠の質と時間が大事
1~3歳 11~14時間、 3~5歳 10~13時間、 小学 9~12時間、 中高 8~10時間、 成人 7~9時間、
65歳以上 6時間
の睡眠時間が必要と考えられています。
良い睡眠の目安は朝元気に スッキリ目が覚めることです。
朝日に当たることで体内時計がリセットされ、約15~16時間後に自然な眠気が訪れます。 小学生は21時を目安にベッド又は布団に入りましょう。
暗く静かで心地よい温度(冬でも18度以上で)就寝しましょう。
ゲーム タブレット TV スマホは、寝る前は控えます。ブルーライトは睡眠ホルモンの分泌を抑制します。
➡ 子供のいびきを見逃さない
多くの小児の睡眠時無呼吸症の原因は、アデノイド増殖症と口蓋扁桃肥大による上気道の狭窄です。それ以外にアレルギー性鼻炎、副鼻腔炎や肥満の影響も認められます。
成人上咽頭の正常写真です。
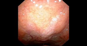
小学生のアデノイド増殖症ですが、年齢相応で正常範囲の写真。
鼻と咽頭の奥に位置するアデノイドはリンパ組織で、細菌の進入防御、免疫に関係する役割があります。アデノイドは4~6歳にかけて最も大きくなり6歳以降 徐々に小さくなります。アデノイド切除術は、鼻閉、いびき、睡眠時無呼吸症、滲出性中耳炎の難聴改善目的で、3~6歳ごろよく行われる手術です。扁桃肥大や扁桃炎が問題であれば同時に扁桃摘出術も行われることもあります。
幼児のアデノイド増殖症の重症の写真、上咽頭のスペースがなく常時口呼吸のため手術適応となります。
耳鼻咽喉科が関係する睡眠障害は、医学的な治療の効果が期待できる領域です。アデノイドの手術などで劇的に、いびき、無呼吸の睡眠障害の改善が劇的に認められ、身体の成長も促されます。
また、軽症であれば、アレルギー性鼻炎、副鼻腔炎、上咽頭炎の治療で、いびき、睡眠時無呼吸の改善が期待できます。重症の場合は前述の外科的治療が優先されることもあります。
但し アデノイド肥大は6~7歳以降 少しずつ小さくなることから、5~9歳の軽症から中等症の睡眠時無呼吸症の半分弱は、自然治癒する報告が米国からされています。
小学生のアデノイド増殖症の中等症の写真です。
上咽頭のスペースは認めませんが、鼻汁や分泌物を伴い薬などでの治療で、口呼吸は改善可能です。
軽症~中等症のお子さんは、秋以降、寒くなり風邪をひきやすくなると悪化して、春以降の暖かくなると改善に向かう傾向がありますので、治療経過をみながら外科的治療の判断をしていくことになります。
➡ 小児の口呼吸と顔つき(アデノイド顔貌、歯並びの乱れ 出っ歯、下あごが後退)
鼻の奥にあるアデノイドが増殖するのは2~3歳ごろから始まり、個人差により4~7歳ごろに大きさがピーク(特に5~6歳)となり、10歳を過ぎる頃は急速に小さくなります。
2歳のアデノイド増殖症の写真です。
鼻閉、口呼吸ありませんが、2歳でもアデノイドは大きくなっています。鼻水認めます。
このような解剖学的変化により、幼児期から学童にかけて容易に口呼吸をもたらし、下顎の後退や上顎の発育抑制をきたします。
顔長で下あごが後退して、口が閉じにくい『アデノイド顔貌』と呼ばれる顔つきになりやすいとされています
歯科の領域では、前歯の突出、上あごがV字型に狭い、歯並びが悪く、かみ合わせにずれ、舌の低位をもたらします。
小児期の鼻呼吸の確立と口呼吸の改善は、小児睡眠時無呼吸症の改善、顎顔面の成長を正常に促し、将来の睡眠時無呼吸症の予防、口腔内の歯科的異常の予防となります。
顎顔面の成長指標のFacial Axis(顔面軸)は、9歳以降変化は認められません。
つまり小学3年生までに鼻呼吸を確立することが求められます。
小児の歯の矯正も5~8歳が望ましいとされています。
成長する力を利用して行います。顎の骨の形や大きさを整え、永久歯がきれいに並ぶための「土台」を作ることです。鼻呼吸を確立することは、小児矯正をサポートします。また小児の歯の矯正は口呼吸から鼻呼吸へ変えることを促します。
つまり 鼻呼吸と小児の歯の矯正は表裏一体の関係にあります。
『耳鼻咽喉科の役割』
発達障害 生活習慣の確立、睡眠障害の治療はは 一般小児科、小児神経科、児童思春期精神科などの先生方ですが、幼児から小児期のいびき・睡眠時無呼吸症、アレルギー性鼻炎、副鼻腔炎、アデノイドや扁桃肥大が背景にあり睡眠障害を起こしているときは 耳鼻咽喉科の医師の出番です。
歯科領域の異常は歯科の先生の助けが必要です。
お子さんのいびき・口呼吸・睡眠障害・アデノイド顔貌のような顔つきの異常を感じたら近くの耳鼻咽喉科に相談してみましょう。
当院のコラム;睡眠時無呼吸症候群(OSAS)








